Pressemitteilung 2022


Düsseldorf 16.3.2022

Die AAD 2022 bietet Augenärztinnen und Augenärzten sowie auch dem augenärztlichen Fachpersonal die Gelegenheit zum kollegialen Austausch und zur Fortbildung auf höchstem Niveau.

Die digitale Pressemappe gibt einen Einblick in ausgewählte Themen der Tagung.


Berufsverband der Augenärzte Deutschlands
Pressereferat
Tersteegenstr. 12
40474 Düsseldorf
Telefon: 0221 4303700
E-Mail: pressekontakt@augeninfo.de

AAD 2022 hybrid
Pressekonferenz 2022

Die Fortbildungstagung vom 16. bis 19. März 2022
von DOG und BVA

Sehr geehrte Damen, sehr geehrte Herren,

in diesem Jahr findet endlich wieder der Kongress der Augenärztlichen Akademie Deutschland (AAD) in Düsseldorf statt – als hybride Veranstaltung. Allmählich finden wir dabei auch wieder zum physischen Umgang miteinander und nutzen die wiedergewonnene Möglichkeit der persönlichen Begegnung. Die AAD 2022 bietet Augenärztinnen und Augenärzten sowie auch dem augenärztlichen Fachpersonal wieder die Gelegenheit zum kollegialen Austausch und zur Fortbildung auf höchstem Niveau.

Der 1. Vorsitzende des Berufsverbandes der Augenärzte Deutschland e.V. (BVA), Herr Dr. Peter Heinz, weist in seinem aktuellen berufspolitischen Statement auf den erheblichen Aufwand hin, mit dem es den Augenärztinnen und Augenärzten vom Beginn der Pandemie an gelungen ist, die Versorgung ihrer Patienten unvermindert zu gewährleisten. Es wäre zu begrüßen gewesen, dass die Krankenkassen dies mit der Anpassung der Vergütung unterstützen. Unterstützung und Bestätigung erhielt der BVA jedoch vom Bundesgerichtshof (BGH), der mit seinem Urteil nochmals bestätigte, dass es ärztlich geboten ist, die Glaukomfrüherkennung anzubieten, auch wenn die gesetzlichen Krankenkassen die Kosten für diese Untersuchung nicht übernehmen (AZ: III ZR 63/20). Auch die Aufnahme etablierter und international selbstverständlich anerkannter Untersuchungs- und Dokumentationsmethoden in den Einheitlichen Bewertungsmaßstab (EBM) bleibt Diskussionsthema mit dem Gemeinsamen Bundesausschuss der Ärzte und Krankenkassen. Insbesondere die fotografische Dokumentation der Befunde wird in der Augenheilkunde immer bedeutungsvoller. Leider bleibt für die Bilddokumentation meist nur die Option, diese als IGeL anzubieten – und damit die Diskrepanz zwischen den Ansprüchen an eine moderne evidenzbasierte Medizin und einem veralteten Honorarsystem.

Die Pandemie hat und wird Spuren hinterlassen, auch bei denen, die die akute Infektion überstanden haben. Einige sind nicht – oder lange nicht – so genesen, wie erhofft. Long Covid bezeichnet die Beschwerden nach einer Infektion mit dem SARS CoV-2-Virus. Frau PD Dr. Dr. Bettina Hohberger von der Augenklinik der Universität Erlangen-Nürnberg berichtet über den Stand der Studie zu den Heilungschancen von Long Covid durch medikamentöse Neutralisierung der Autoantikörper gegen G-Protein-gekoppelte Rezeptoren.

Die Netzhautablösung ist ein zum Glück seltener, aber dringlich mittels komplexer Operation zu behandelnder Notfall, dessen Häufigkeit in den letzten Jahren zugenommen hat. Zu den mit der DOG Deutsche Ophthalmologische Gesellschaft, der Retinologischen Gesellschaft und dem Berufsverband der Augenärzte Deutschlands abgestimmten Handlungsempfehlungen und den Erfordernissen für die erfolgreiche Operation berichtet Herr Prof. Dr. Armin Wolf von der Klinik für Augenheilkunde am Universitätsklinikum Ulm.

In Deutschland haben 923.000 Menschen ein Glaukom. Das Glaukom ist eine neurodegenerative Erkrankung, die – wie manche anderen Erkrankungen auch – mitbeeinflusst wird durch die Ernährung und den Lebensstil und deren Auswirkungen auf das Mikrobiom des Darms. Hierzu berichtet Herr Prof. Dr. Carl Erb, Ärztlicher Leiter der Augenklinik am Wittenbergplatz in Berlin.

Trotz jahrzehntelanger Bemühungen des BVA gibt es – im Unterschied zu benachbarten Ländern – leider keine von den Kassen geförderte augenärztliche Vorsorgeuntersuchung bei Kindern. Kinderärztliche Untersuchungen können dies nicht kompensieren. So haben in Deutschland rund 5% der Kinder eine bleibende, lebenslange Beeinträchtigung des Sehvermögens, die man durch eine frühzeitige augenärztliche Untersuchung und Behandlung hätte verhindern können. Hierzu berichtet Frau PD Dr. Heike M. Elflein von der Augenklinik und Poliklinik der Johannes Gutenberg-Universität Mainz.

Ihnen allen wünsche ich einen erfolgreichen Besuch unseres Kongresses der AAD 2022 in Düsseldorf!

Dr. Ludger Wollring, Pressesprecher des BVA

Pressemappe:


Augenärztliche Versorgung in der Endlosschleife
Mehraufwand durch die Corona-Pandemie wird nicht honoriert

Zwei Jahre Corona – und ein Ende wird zwar immer wieder versprochen, ist aber angesichts immer neuer Mutationen nicht absehbar. Die ganze Gesellschaft sieht sich in einer Endlosschleife gefangen – den niedergelassenen Augenärzten in Deutschland geht es nicht anders. Mit erheblichem Aufwand ist es den Augenärztinnen und Augenärzten von Beginn an gelungen, die Versorgung ihrer Patienten jederzeit zu gewährleisten. Auch nach zwei Jahren Pandemie wird der Mehraufwand für die Behandlung jeder einzelnen Patientin und jedes einzelnen Patienten – zu nennen sind hier neben der Umorganisation der Praxis- und Behandlungsabläufe vor allem die zusätzlichen Hygienemaßnahmen, wie z.B. den noch häufigeren Einsatz von Einmalartikeln, die Anschaffungen entsprechender Luftreinigungsanlagen sowie die noch weiter maximierten hygienischen Erfordernisse vor, während und nach der Behandlung des Patienten – den Praxen jedoch nicht durch die gesetzlichen Krankenkassen erstattet. Diese aktuellen Anforderungen sind in den heutigen Bewertungen der Behandlungsziffern nicht enthalten.

Glaukomfrüherkennung: BGH bestätigt Position des BVA
In einer Endlosschleife sahen sich Augenärztinnen und Augenärzte auch über viele Jahre hinweg gefangen, wenn es um wichtige Früherkennungsuntersuchungen ging. Verbraucherzentralen und der medizinische Dienst der Krankenkassen wurden nicht müde, Individuelle Gesundheitsleistungen (IGeL) als unnötig anzuprangern und Augenärztinnen und Augenärzten vorzuwerfen, sie hätten vor allem wirtschaftliche Gründe im Blick, wenn sie Patientinnen und Patienten etwa ein Glaukom-Screening empfahlen. Der Bundesgerichtshof (BGH) hat dem nun hoffentlich ein Ende gesetzt: Er bestätigte im vergangenen September, dass es ärztlich geboten ist, die Glaukomfrüherkennung anzubieten, auch wenn die gesetzlichen Krankenkassen die Kosten für diese Untersuchung nicht übernehmen (AZ: III ZR 63/20).

Das Glaukom entwickelt sich langsam und wird von den Betroffenen selbst erst bemerkt, wenn ein Großteil des Sehnervs unwiederbringlich zerstört ist. Nur mit einer augenärztlichen Früherkennungsuntersuchung kann die Krankheit frühzeitig entdeckt und rechtzeitig behandelt werden, so dass das Sehvermögen erhalten wird. Zum Glaukom-Check gehört die Betrachtung des Sehnervenkopfes, die Messung des Augeninnendrucks und unter Umständen die Messung der Hornhautdicke. Das Risiko, am Glaukom zu erkranken, steigt mit zunehmendem Alter, deshalb empfehlen augenärztliche Fachverbände das Glaukom-Screening spätestens ab dem Alter von 40 Jahren in regelmäßigen Abständen. Die S2e-Leitlinie „Bewertung von Risikofaktoren für das Auftreten des Offenwinkelglaukoms“ (1) erläutert im Detail, in welchen Abständen die Untersuchungen welchen Menschen empfohlen werden sollten. Die gesetzlichen Krankenkassen übernehmen die Kosten dafür nicht, deshalb muss die Früherkennung als IGeL angeboten werden. Die Verbraucherzentrale Nordrhein-Westfalen hatte gegen eine Patienteninformation des BVA geklagt wegen angeblich unzulässiger Tatsachenbehauptungen. Der BGH bestätigte jedoch, dass die Formulierungen der Patienteninformation nicht von Rechtsvorschriften abweichen. Es ist nun zu hoffen, dass dieses Urteil den andauernden Diffamierungen von Seiten der Verbraucherzentrale und der Krankenkassen ein Ende setzt.

Bilddokumentation: unverzichtbar, aber keine Kassenleistung
Neben der Glaukomfrüherkennung sehen sich Augenärztinnen und Augenärzte aber auch bei anderen wichtigen diagnostischen Leistungen gezwungen, diese als IGeL anzubieten. Immer wieder scheitert der Berufsverband mit seinen Anläufen, die Aufnahme etablierter und international selbstverständlich anerkannter Untersuchungsmethoden in den Einheitlichen Bewertungsmaßstab (EBM) durchzusetzen. Die fotografische Dokumentation der Befunde beispielsweise ist unverzichtbar. Ein Augenarzt, der darauf verzichtet, kann sich strafbar machen. 2016 verurteilte beispielsweise das Oberlandesgericht Hamm einen Augenarzt, der es unterlassen hatte, bei einem Glaukompatienten schon vor Beginn der Behandlung im Jahr 1998 eine Bilddokumentation des Sehnervenkopfes anzulegen (Urteil vom 15.01.2016, AZ 26 U 48/14). Honoriert werden die Netzhautfotografie und die Vorderabschnittsfotografie von den gesetzlichen Krankenkassen jedoch nicht. Der Gemeinsame Bundesausschuss der Ärzte und Krankenkassen stellt aber nicht erfüllbare Anforderungen an die Aufnahme diagnostischer Leistungen in den EBM. Nur mit einem evidenzbasierten Nachweis, dass der Einsatz eines Verfahrens sich positiv auf das Sehen der Patienten auswirkt, wäre die Aufnahme möglich. In wissenschaftlichen Studien ist es kaum möglich, diesen Nachweis zu erbringen, weil sie aus ethischer Sicht fragwürdig und sehr aufwändig wären. Augenärztinnen und Augenärzten bleibt also lediglich die Möglichkeit, diese Leistungen als IGeL zu erbringen – nur um sich dann wieder dem Vorwurf der Abzocke von Seiten der Verbraucherzentralen und der Krankenkassen ausgesetzt zu sehen. Hier muss sich schnellstens etwas ändern.

Dr. Peter Heinz
1. Vorsitzender des Berufsverbands der Augenärzte Deutschlands e.V.

Tersteegen Str. 12
D – 40474 Düsseldorf 
Tel.: (02 11) 4 30 37 00
Fax: (02 11) 4 30 37 20
E-mail: bva@augeninfo.de
www.augeninfo.de

  1. Die Leitlinie „Bewertung von Risikofaktoren für das Auftreten des Offenwinkelglaukoms“ steht auf der Internetseite der Arbeitsgemeinschaft wissenschaftlich-medizinischer Fachgesellschaften zum Download bereit: https://www.awmf.org/leitlinien/detail/ll/045-015.html

Long COVID in den Griff bekommen
Was können Augenärzte dazu beitragen?

„Seit einem Jahr fühle ich mich wie ein Käfer, der auf dem Rücken liegt und kaum etwas tun kann.“ „Selbständiges Stehen und Laufen ist schon sehr lange nicht mehr möglich.“ „Ich bin aktuell bei meinen Eltern, da ich den Alltag nicht selber bewältigen kann.“ Was Menschen über noch Monate nach einer überstandenen COVID-19-Infektion anhaltende Symptome berichten, ist erschreckend. Erschöpfung, Gedächtnisstörungen, Gleichgewichtsstörungen, anhaltender Geschmacksverlust, erhöhter Blutdruck – solche Probleme quälen viele Betroffene, die an Long COVID leiden. Der Handlungsbedarf ist groß.

Erfolgreiche Heilversuche bei vier Patienten
Erste erfolgreiche Heilversuche an vier Patienten machen Hoffnung auf eine wirksame Behandlung für Menschen mit Long COVID. Die Phase IIa-Studie wird, aufbauend auf der laufenden reCOVer Studie (retina COVID-19 Erlangen) nun genauer untersuchen, ob der Wirkstoff BC 007, der diesen vier Patienten half, eine geeignete Therapie ist. Augenärzte des Universitätsklinikums in Erlangen sind als Mitglieder eines interdisziplinären Teams von Ärzten und Grundlagenwissenschaftlern maßgeblich an der Studie beteiligt. Zugleich entwickeln sie das Versorgungskonzept disCOVer mit. Es trägt mit einer gezielten Diagnostik dazu bei, dass jeder Patient die für ihn optimale Therapie bekommt.

Was ist Long COVID?
Für Long COVID gibt es bisher noch keine einheitliche Definition. Allgemein werden damit gesundheitliche Langzeitfolgen nach einer SARS-CoV-2-Infektion beschrieben, die auch drei Monate nach der Infektion noch anhalten. Die Symptome können dabei unspezifisch und vielfältig sein. Erschöpfung, Geruchs- und Geschmacksstörungen, Atemnot und Kurzatmigkeit, Gedächtnisstörungen und Schlafstörungen sind häufige Long COVID-Beschwerden. Hier gibt es Ähnlichkeiten zur Myalgischen Enzephalomyelitis, die auch als Chronisches Fatigue-Syndrom (CFS) bekannt ist.

Große Zahl an Betroffenen
Hinweise darauf, wieviele Menschen von diesen Langzeitfolgen betroffen sind, gibt die Gutenberg COVID-19 Studie (1): 40 Prozent der Betroffenen bemerken auch noch lange nach der Infektion einzelne Symptome. Etwa jede dritte Person konnte die ursprüngliche Leistungsfähigkeit nicht wieder erlangen. Die Bundesregierung meldete am 20. Dezember 2021, dass sich seit Beginn der Pandemie in Deutschland 6.809.622 Menschen nachweislich mit dem Coronavirus infiziert haben. Am 21. Februar hatten sich bereits 13.636.993 Menschen infiziert (2) – die Omikron-Variante ließ die Fallzahlen schnell ansteigen. Da unter den Infizierten aber auch bereits geimpfte Personen sind, lässt sich nicht genau abschätzen, mit wie viel Betroffenen mit Long COVID gerechnet werden muss.

Was verursacht die Beschwerden bei Long COVID?
Bei manchen Patienten kommt es im Zuge der Infektion mit dem SARS-CoV-2-Virus zur Bildung von Autoantikörpern gegen G-Protein gekoppelte Rezeptoren. Zudem lässt sich beobachten, dass vergrößerte und deformierte Blutzellen die Mikrozirkulation behindern und so die langanhaltenden Beschwerden auslösen könnten. Als diagnostisches Fenster in den Körper erweist sich dabei die Mikrozirkulation in der Netzhaut des Auges: Mit dem Verfahren der OCT-Angiographie lässt sich die Durchblutung der feinen Gefäße im Auge bildlich darstellen. Die Untersuchung erfolgt berührungslos und belastet die Patienten wenig. Zudem war aufgefallen: Bei Patienten, die eine SARS-CoV-2-Infektion durchgemacht haben, lässt sich eine Korrelation zwischen einer verringerten retinalen Mikrozirkulation in der Netzhaut und der Schwere der Erkrankung feststellen.

Wie kam es zu dem ersten Behandlungsversuch?
Der Wirkstoff BC 007 wurde vor einigen Jahren für Patienten mit einer schweren Herzerkrankung in eine Zulassungsstudie gebracht. Er neutralisiert die schädlichen Autoantikörper gegen G-Protein-gekoppelte Rezeptoren. Solche Autoantikörper finden sich auch bei Glaukom-Patienten. Es ist bekannt, dass sie die Durchblutung des Auges beeinträchtigen können.

Ein 59-jähriger Glaukom-Patient, der nach überstandener Corona-Infektion über gravierende Langzeitfolgen klagte, war der erste Patient, bei dem der Heilversuch unternommen wurde. Er erhielt das Präparat bei einer 75-minütigen Infusion und blieb anschließend drei Tage lang zur Kontrolle im Krankenhaus. Schon innerhalb von wenigen Stunden zeigte sich eine Besserung. Der Patient erholte sich, die Konzentrationsstörungen schwanden, die Leistungsfähigkeit stieg an und der Geschmacksinn kehrte zurück. Die Durchblutung der Kapillaren zeigte sich deutlich verbessert. Die Autoantikörper waren erfreulicherweise nicht mehr nachweisbar.

Auf den ersten Heilversuch im Sommer folgten drei weitere, die ebenfalls erfolgreich verliefen. Besonders stark betroffen war eine 39-jährige Grundschullehrerin, die unter massiver Abgeschlagenheit, Gleichgewichts-, Koordinations-, Gedächtnis- und Konzentrationsstörungen sowie an Geschmacksstörungen litt. Zeitweise Lähmungserscheinungen in einer Hand und in einem Fuß kamen dazu. Ihre neurologischen Symptome besserten sich aufgrund der Behandlung. Nun soll in Kürze die mit einer vom Bundesministerium für Bildung und Forschung (BMBF) geförderten Studie die reCOVer Studie fortgeführt und zudem systematisch geprüft werden, ob und dank welcher Mechanismen BC 007 den Long-COVID Patientinnen und Patienten helfen kann. Die Studie wird vom BMBF mit 1,2 Millionen Euro unterstützt.

disCOVer: Genau untersuchen – zielgerichtet behandeln
Voraussetzung dafür, dass jede Patientin und jeder Patient die optimale Therapie erhält, ist eine genaue Diagnostik. disCOVer (Diagnosis COVID-19 Erlangen) kann die Basis für ein deutschlandweit einsetzbares Versorgungskonzept werden. Folgende Schritte umfasst das Konzept:

– In einer Videosprechstunde werden Fragen zur Anamnese und zur Erschöpfungssymptomatik (CFS-Fragebogen) geklärt, weitere Tests wie etwa ein Konzentrationstest helfen, Personen mit Long COVID zu identifizieren.

– Bei bestätigtem Long COVID Verdacht folgen weitere Untersuchungen: Mit der OCT-Angiographie wird die Mikrozirkulation der Netzhaut erfasst, es wird bestimmt, ob Autoantikörper vorhanden sind und wie die Blutzellen beschaffen sind. Die Aktivität der T-Zellen ist ein weiterer Befund, der erhoben wird. Hinzu kommen internistische Untersuchungen von der Herzechographie über einen Lungenfunktionstest, ein EKG bis hin zur Lungendiffusionsdiagnostik.

– Je nach Befund folgen nun therapeutische Maßnahmen.

–Liegen Organschäden vor, profitieren die Patienten von einer gezielten Rehabilitation.

– Falls noch eine Aktivität der T-Zellen festgestellt wird, muss man davon ausgehen, dass im Körper noch geringe Virusmengen aktiv sind, die diese Immunaktivierung auslösen. In diesem Fall wird eine Booster-Impfung empfohlen, um dem Immunsystem zu helfen, die Viren auszulöschen.

– Lassen sich Autoantikörper nachweisen, dann ist von einer viral induzierten Autoimmunreaktion auszugehen und es folgt

– die Behandlung zur Neutralisierung der Autoantikörper mit beispielsweise BC 007.

Fazit
Long COVID bezeichnet langanhaltende Beschwerden nach einer Infektion mit dem SARS CoV-2-Virus. Es ist davon auszugehen, dass mindestens 30 Prozent der Betroffenen ihre ursprüngliche Leistungsfähigkeit nicht wieder erreichen. Eine fehlgeleitete Immunreaktion scheint bei einem Teil der Patienten die Beschwerden zu verursachen. In einer Phase IIa-Studie soll nun untersucht werden, ob ein Medikament, das Autoantikörper gegen G-Protein-gekoppelte Rezeptoren neutralisiert, Long COVID heilen kann. Mit einer genauen Diagnostik und einem strukturierten Versorgungskonzept soll allen Betroffenen der Weg zu der für sie optimalen Behandlung gebahnt werden.

PD Dr. Dr. Bettina Hohberger
Augenklinik der Universität Erlangen-Nürnberg
Schwabachanlage 6
91054 Erlangen
E-Mail: Bettina.Hohberger@uk-erlangen.de
reCOVer und disCOVer: recover.au@uk-erlangen.de
Tel.: 09131 85 33001

Informationen zu den aktuell laufenden Studien:
https://www.augenklinik.uk-erlangen.de/forschung-und-lehre/recover-projekt/

Quellen:
(1)
https://www.unimedizin-mainz.de/GCS/dashboard/#/app/pages/AktuelleErgebnisse/ergebnisselc

(2)
https://www.bundesregierung.de/breg-de/aktuelles/fallzahlen-coronavirus-1738210


Notfall Netzhautablösung
Wie dringlich muss operiert werden?

Wenn sich die Netzhaut des Auges von der darunter liegen Schicht, dem retinalen Pigmentepithel, ablöst, dann ist das ein Notfall, der prinzipiell so schnell wie möglich augenärztlich versorgt werden muss. Nur so kann die drohende Erblindung des Auges verhindert werden. Frühe Symptome, die die Patienten wahrnehmen, sind Lichtblitze oder helles Flimmern, die vor allem in der Dunkelheit wahrgenommen werden. Viele dunkle Punkte wie ein Rußregen im Auge sind weitere Warnsignale oder auch das Sehen dunkler „Spinnweben“. Schiebt sich aber ein Schatten wie eine Wand ins Gesichtsfeld, dann deutet das darauf hin, dass sich die Netzhaut im entsprechenden Teil des Augenhintergrundes bereits gelöst hat. Mit solchen Symptomen sollte man so schnell wie möglich eine Augenarztpraxis oder Augenklinik aufsuchen, damit die wahrscheinlich notwendige Operation umgehend geplant werden kann. In einer Stellungnahme haben die Deutsche Ophthalmologische Gesellschaft, die Retinologische Gesellschaft und der Berufsverband der Augenärzte Deutschlands zusammengefasst, was bei der Planung einer Operation zu beachten ist (1).

Häufige Ursache: Ein Loch in der Netzhaut
Der bei weitem größte Anteil der Netzhautablösungen beginnt mit einem kleinen Loch oder Riss in der Netzhaut. Ursächlich hierfür sind altersbedingte Veränderungen im Glaskörper. Bei Neugeborenen liegt der Glaskörper fest an der Netzhaut an, löst sich aber durch Umbauvorgänge im Laufe des Lebens von der Netzhaut ab. An einigen Stellen bleibt der Glaskörper, der den größten Teil des Augeninneren ausfüllt mit der Netzhaut verbunden und kann als Folge der altersbedingten Schrumpfung oder bei starker Kurzsichtigkeit an der Netzhaut ziehen. Entsteht dabei ein Loch, dann kann dadurch Flüssigkeit unter die Netzhaut gelangen und sie von ihrer Unterlage ablösen. Augenärzte sprechen von einer rhegmatogenen amotio retinae, einer rissbedingten Netzhautablösung.

Steigende Inzidenz
Insgesamt ist die Netzhautablösung selten. Es scheint aber, dass Augenärzte immer öfter Patienten mit dieser ernsten Augenkrankheit behandeln müssen. Denn ihre Häufigkeit hat in den vergangenen Jahren deutlich zugenommen, wie aus einer Kohortenstudie aus den Niederlanden hervorgeht (2). Von 2009 bis 2016 beobachteten die Autoren eine Zunahme der Inzidenz von 18,2 pro 100.000 Einwohnern im Jahr 2009 auf 26,2 im Jahr 2016. Die Ursachen hierfür sind noch unklar.

Risikofaktoren
Für das Auftreten einer Netzhautablösung gibt es verschiedene Risikofaktoren. So sind Menschen mit einer starken Kurzsichtigkeit besonders häufig betroffen. Auch eine Kataraktoperation, bei der die trüb gewordene körpereigene Linse gegen ein Kunststoffimplantat ausgetauscht wird, kann das Risiko, eine Netzhautablösung zu erleiden, steigern. Schließlich sind meist Menschen im mittleren Lebensalter (über 50 Jahre) betroffen, Männer häufiger als Frauen.

Komplexe Augenoperation
Bei einer akuten rhegmatogenen Amotio ist die rechtzeitige Behandlung entscheidend für den Erhalt des Sehvermögens. Ein komplexer chirurgischer Eingriff ist notwendig, bei dem der Glaskörper entfernt und die Netzhaut wieder angelegt wird. Für den Erfolg der Operation ist ausschlaggebend, wie lange die Ablösung schon besteht und wie umfangreich sie ist. Insbesondere ist es entscheidend, ob die Sehgrube (Fovea) mit betroffen ist oder ob die Netzhaut in diesem für die zentrale Sehschärfe wichtigen Bereich noch anliegt. Denn in der Fovea sind die lichtempfindlichen Zellen besonders dicht angesiedelt. In diesem kleinen Areal von etwa 1,5mm Durchmesser finden sich 147.000 Zapfen pro mm², die scharfes Sehen in Farbe ermöglichen.

Risikofaktoren für eine rasche Progression
Die Aussichten für den Erhalt des Sehvermögens sind schlechter, wenn die Fovea bereits von der Netzhautablösung mitbetroffen ist. Wird bei der Augenuntersuchung eine Amotio ohne Beteiligung der Fovea festgestellt, dann sollte ein Fortschreiten der Ablösung bis zur Operation vermieden werden. Das Risiko für eine rasche Progression kann anhand verschiedener Faktoren beurteilt werden. Für ein schnelles Fortschreiten sprechen die folgenden Punkte:

  • Die Patienten berichten, dass sich die Symptome rasch verschlechtern.
  • Die Amotio und auch das verursachende Loch in der Netzhaut liegen oben zur Schläfe hin (temporal).
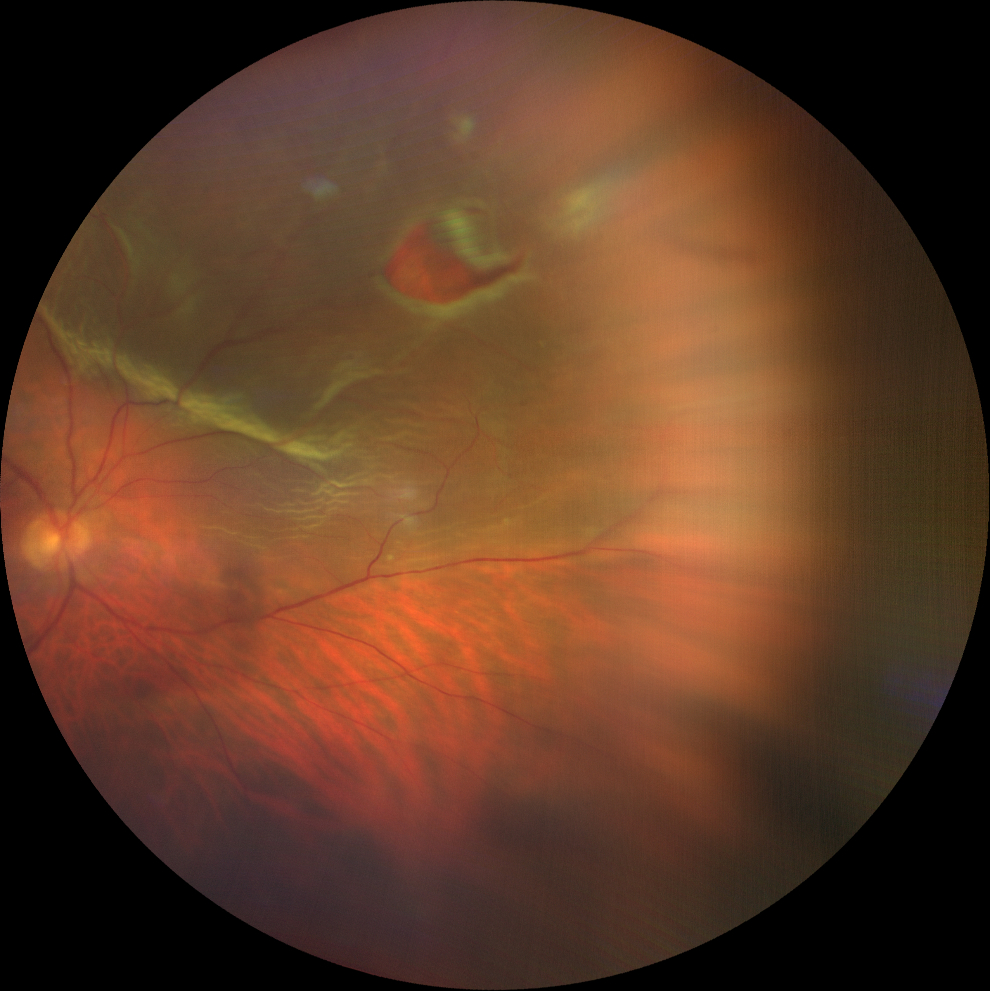
  • Das Erscheinungsbild ist „hochblasig“ (Abbildung).
  • Die Amotio befindet sich bereits in unmittelbarer Nähe der Fovea.

Andere Befunde sprechen für eine langsame Progression, so etwa eine geringe Ausprägung der Ablösung, eine flache Ablösung in den äußeren Netzhautarealen und schwach ausgeprägte Symptome.

Abhängig von diesen Risikofaktoren wird die Operation geplant und die Dringlichkeit festgelegt. Auch infrastrukturelle und personelle Faktoren sind für eine erfolgreiche Behandlung von Bedeutung, sie sollten bei der OP-Planung berücksichtigt werden. So gibt es Daten, die nahelegen, dass die Erfolgsraten am höchsten sind, wenn ein erfahrener Operateur den Eingriff ausführt (3). Bis zur Operation soll der Patient Augen- und Körperbewegungen vermeiden und entsprechend gelagert werden, um eine Abhebung der Fovea zu verhindern. Je nachdem, wo im Auge die Netzhaut sich gelöst hat, kann das Einhalten einer bestimmten Lage notwendig sein. Sobald die Diagnose feststeht, ist eine stationäre Aufnahme in eine Augenklinik sinnvoll, um die Patienten dabei bestmöglich zu unterstützen. Der genaue Zeitpunkt der Operation kann dann unter Umständen noch etwas hinausgeschoben werden, bis ein erfahrener Operateur zur Verfügung steht.

Wenn die Fovea mit betroffen ist…
Bei einer Amotio, die die Fovea mit betrifft, muss man mit nicht wieder gut zu machenden Folgeschäden rechnen. Je länger die Ablösung hier schon besteht, desto weniger dringend ist eine Operation. Dann kann es sinnvoll sein, wenige Tage abzuwarten, wenn sich dadurch bessere organisatorische, chirurgische oder personelle Voraussetzungen schaffen lassen.

Fazit
Die rissbedingte Netzhautablösung ist ein medizinischer Notfall, der umgehend augenärztlich versorgt werden muss. Frühe Symptome sind das Sehen von Lichtblitzen, helles Flimmern oder ein „Rußregen“ im Auge. Ein Schatten, der sich in das Gesichtsfeld schiebt, spricht für eine bestehende Amotio, die so schnell wie möglich behandelt werden sollte. Die Häufigkeit von Netzhautablösungen nimmt seit einigen Jahren zu. Mit einer komplexen Operation kann die Netzhaut wieder angelegt werden. Ob und in welchem Ausmaß das Sehvermögen erhalten werden kann, hängt von der Dauer und Art der Amotio ab, aber auch von infrastrukturellen und personellen Faktoren. Die Erfolgsaussichten sind höher, wenn ein erfahrener Operateur den Eingriff ausführt.

Prof. Dr. Armin Wolf
Klinik für Augenheilkunde Universitätsklinikum Ulm
Prittwitzstraße 43
89075 Ulm
Tel.: 0731 / 500 59001
Fax: 0731 / 500-59002
E-Mail: Armin.Wolf@uniklinik-ulm.de

Quellen:
(1) Stellungnahme der Deutschen Ophthalmologischen Gesellschaft der Retinologischen Gesellschaft und des Berufsverbandes der Augenärzte Deutschlands zur zeitlichen Planung der Versorgung einer rhegmatogenen Amotio retinae. Stand Oktober 2020. Die Stellungnahme steht hier zum Download bereit: https://augeninfo.de/cms/hauptmenu/infos-fuer-aerzte/stellungnahmen.html

(2) Association of Rhegmatogenous Retinal Detachment Incidence With Myopia Prevalence in the Netherlands. Redmer van Leeuwen et al.; JAMA Ophthalmol. 2021 Jan; 139(1) 85-92

(3) Koch, K. R., et al. (2012). „Success rates of retinal detachment surgery: routine versus emergency setting.“ Graefes Arch Clin Exp Ophthalmol 250(12): 1731-1736.

Abbildung: Befundbild einer hochblasigen Netzhautablösung

Was bewirkt die Ernährung beim Glaukom?
Anpassung des Lebensstils kann die Therapie unterstützen

Neue Einblicke in die krankhaften Prozesse beim Glaukom tragen dazu bei, dass sich das Verständnis der Augenkrankheit wandelt. Das primäre Offenwinkelglaukom(POWG) ist eine langsam voranschreitende Erkrankung des Sehnervs. Nach und nach gehen retinale Ganglienzellen verloren, der Sehnerv stirbt ab. Unbehandelt führt das Glaukom zur Erblindung. Die Behandlung der Augenkrankheit, die in Deutschland rund 923.000 Menschen betrifft (1), zielt bisher auf die Senkung des Augeninnendrucks ab, um das Fortschreiten zu bremsen. Der Augeninnendruck wird medikamentös mit Augentropfen gesenkt, gegebenenfalls auch mit Lasereingriffen oder Operationen. Ergänzend zu dieser Therapie können eine Umstellung der Ernährung und eine Änderung des Lebensstils den Krankheitsverlauf positiv beeinflussen.

Eine systemische neurodegenerative Erkrankung
Die Ursache des POWG ist noch nicht bis ins letzte Detail erforscht, doch man weiß heute, dass es – wie beispielsweise auch die Alzheimer- oder die Parkinson-Krankheit – eine systemische neurodegenerative Erkrankung ist. Grundlegende Mechanismen der Krankheit, die den Sehnerv betreffen, sind entzündliche Prozesse (Neuroinflammation) und oxidativer Stress. Beide tragen dazu bei, dass der Sehnerv allmählich degeneriert.

Von oxidativem Stress ist die Rede, wenn bei Stoffwechselprozessen ein Übermaß an reaktiven Sauerstoffverbindungen entsteht. Diese auch als freie Radikale bezeichneten Verbindungen können zelleigene Strukturen wie die Mitochondrien, die Kraftwerke der Zelle, angreifen. Ein zu hoher Augeninnendruck – ein wichtiger Risikofaktor für das Glaukom – behindert unter anderem die Versorgung des Sehnervs mit sauerstoffreichem Blut. Dadurch entsteht eine Unterversorgung mit Sauerstoff (Hypoxie). Es entwickelt sich eine Kettenreaktion, in der Wechselwirkungen zwischen oxidativem Stress, geschädigten Mitochondrien und entzündlichen Prozessen sich gegenseitig fördern (2).

Da eine Senkung des Augeninnendrucks nicht bei allen Patienten das Fortschreiten des Glaukoms stoppen kann, sucht man intensiv nach ergänzenden Therapieansätzen. Die Reduzierung von oxidativem Stress ist ein Ansatz, der die verfügbaren Behandlungsstrategien ergänzen kann.

Risikofaktoren für das Glaukom: Bluthochdruck, Diabetes, Fettstoffwechselstörung
Oxidativer Stress ist neben seiner Bedeutung für neurodegenerative Erkrankungen auch an der Entstehung von Bluthochdruck und Diabetes beteiligt. Bluthochdruck, vaskuläre Dysfunktion, Diabetes mellitus und Fettstoffwechselstörungen wiederum gelten als bedeutende systemische Risikofaktoren für die Entstehung eines POWG. Diese Risikofaktoren lassen sich durch eine gesunde, vielseitige Ernährung positiv beeinflussen.

Mikrobiom des Darms
Ein neuer Aspekt, auf den die Forschung ihr Augenmerk richtet, ist das Mikrobiom des Darms. Es gibt interessante Hinweise darauf, dass sich das Mikrobiom des Darms bei Menschen mit Glaukom anders zusammensetzt als bei Menschen ohne Glaukom (3). Der Begriff Mikrobiom bezeichnet die Gesamtheit der Mikroorganismen, in diesem Fall im Darm des Menschen. Die Rolle, die das Mikrobiom des Darms für entzündliche Prozesse im Körper und für neurodegenerative Erkrankungen spielt, ist aktuell Gegenstand intensiver Forschung. Eine Umstellung der Ernährung kann die Zusammensetzung des Mikrobioms beeinflussen. Das therapeutische Potenzial für die Behandlung des Glaukoms muss noch weiter erforscht werden.

Ratschläge für eine gesunde Ernährung – auch für die Augen
Eine vielseitige, vitaminreiche und gesunde Ernährung kommt daher auf verschiedene Weisen auch den Augen zugute und kann die den Augeninnendruck senkende Therapie des Glaukoms unterstützen. Daneben schützt eine solche Ernährung auch vor anderen Augenkrankheiten wie der Altersbedingten Makuladegeneration. Folgende Ratschläge können dabei helfen:

– Es ist sinnvoll, regelmäßig zu festen Zeiten zu essen, um der zirkadianen Rhytmik des Körpers Rechnung zu tragen.

– Fettreiche Nahrung sollte man meiden, um den Gehalt an schädlichem LDL-Cholesterin im Blut zu senken.

– Auch Zucker sollte man nur in geringen Mengen zu sich nehmen, um Übergewicht, Typ-2-Diabetes und weiteren Folgekrankheiten vorzubeugen.

– Gemüse und Obst kann man dagegen reichlich zu sich nehmen
– die Deutsche Gesellschaft für Ernährung empfiehlt „5 am Tag“ – also drei Portionen Gemüse und 2 Portionen Obst täglich. Damit diese Nahrungsmittel mit möglichst vielen Vitaminen auf den Teller kommen, empfiehlt es sich, vor allem Produkte mit kurzen Transportwegen zu wählen.

– Auch hochwertige Öle wie beispielsweise Olivenöl sind reich an Vitaminen und wertvollen Fettsäuren.

– Kaffee sollte man nicht im Übermaß zu sich nehmen.

– In Absprache mit dem Augenarzt/der Augenärztin kann auch die Einnahme antioxidativer Nahrungsergänzungsmittel sinnvoll sein, um die im Körper effektiven Wirkspiegel der gewünschten Substanzen überhaupt zu erreichen.

Nicht rauchen – wenig Alkohol trinken – Sport treiben
Ergänzende Maßnahmen, die dem ganzen Körper zugutekommen und auch die Gesundheit der Augen fördern, sind ein Verzicht auf Nikotin, die Begrenzung des Alkoholkonsums und sportliche Aktivitäten – allerdings letztere ohne Leistungsdruck. Möglicherweise kann Sport auch das Fortschreiten der Krankheit verlangsamen. Entspannungsübungen wie autogenes Training können die augendrucksenkende Behandlung zusätzlich ergänzen.

Fazit
Das Verständnis des POWG wandelt sich. Man weiß heute, dass es zu den neurodegenerativen Erkrankungen zählt. Die traditionelle Behandlung besteht in der Senkung des Augeninnendrucks. Auf diese Weise kann das Fortschreiten der Krankheit teilweise aufgehalten und das Sehvermögen bewahrt werden. Über eine Umstellung der Ernährung und des Lebensstils lassen sich Risikofaktoren wie Bluthochdruck, Diabetes mellitus oder Fettstoffwechselstörungen positiv beeinflussen. Ein gesunder Lebensstil mit abwechslungsreicher Ernährung, regelmäßiger Bewegung, wenig Alkohol und einem Verzicht auf Nikotin kommt somit auch der Gesundheit der Augen zugute.

Prof. Dr. Carl Erb
Augenklinik am Wittenbergplatz
Ärztlicher Leiter
Kleiststr. 23-26
10787 Berlin
E-Mail: erb.glaukom@gmail.com

Quellen:
(1) https://www.woche-des-sehens.de/infothek/zahlen-und-fakten/augenkrankheiten-zahlen-fuer-deutschland

(2) Jassim AH, Inman DM and Mitchell CH (2021) Crosstalk Between Dysfunctional Mitochondria and Inflammation in Glaucomatous Neurodegeneration. Front. Pharmacol. 12:699623. doi: 10.3389/fphar.2021.699623

(3) Foroogh Fahmideh, Nicoletta Marchesi, Annalisa Barbieri et al., Non-drug interventions in glaucoma: Putative roles for lifestyle, diet and nutritional supplements, Survey of Ophthalmology, https://doi.org/10.1016/j.survophthal. 2021.09.002


Wie gut sehen ABC-Schützen?
Einfluss der kinderärztlichen Vorsorgeuntersuchungen U7a, U8 und U9 auf die Augenbefunde der Schuleingangsuntersuchungen in Rheinland-Pfalz

Im Vergleich mit anderen europäischen Ländern gibt es in Deutschland einen hohen Anteil von Kindern, die zu Beginn der Schulzeit auf einem oder beiden Augen nicht gut sehen. Das belegen Daten der Schuleingangsuntersuchungen (SEU) des Landes Rheinland-Pfalz aus den Jahrgängen 2009/2010 bis 2014/2015. 5,1 Prozent der Kinder hatten eine Sehschärfe von weniger als 0,7; bei 2,3 Prozent der Kinder betraf dies beide Augen.

Was Hänschen nicht sehen lernt…
Augenvorsorgeuntersuchungen im Kindesalter sollen visuelle Störungen früh erkennen. Insbesondere eine Amblyopie, eine meist einseitige Sehschwäche, die in der frühen Kindheit entsteht, soll so aufgedeckt und zeitnah behandelt werden. Eine Amblyopie ist die häufigste Ursache für eine reduzierte Sehschärfe bei Kindern, Jugendlichen und jungen Erwachsenen. Sie entsteht in der frühen Kindheit. In dieser Phase entwickelt sich das Sehen als komplexes Zusammenspiel von Auge und Gehirn. Störende Einflüsse wie Schielen oder eine Anisometropie können diese Entwicklung behindern. Bei einer Anisometropie unterscheidet sich die Brechkraft beider Augen – so kann eines kurzsichtig, das andere dagegen weitsichtig sein. Dann liefern beide Augen unterschiedliche Bilder, die im Gehirn nicht zu einem Seheindruck verarbeitet werden können. In der Folge unterdrückt das Gehirn den Seheindruck des schwächeren Auges, das Auge wird amblyop. Wird dies rechtzeitig erkannt, kann man die Amblyopie behandeln: Zunächst werden Refraktionsfehler ausgeglichen. In vielen Fällen wird das bessere Auge des Kindes für einige Stunden des Tages mit einem Pflaster abgeklebt, so dass das Gehirn lernt, den Seheindruck des zweiten Auges zu verarbeiten. Diese Behandlung sollte im Vorschulalter beginnen. Je älter das Kind wird, desto geringer sind die Aussichten, eine Amblyopie noch zu beheben.

Augenärztliche Vorsorgeuntersuchungen nicht im Leistungskatalog der Kassen
5,6 Prozent der Erwachsenen im Alter von 35 bis 44 Jahren in Deutschland sind amblyop. In Schweden sind es dagegen nur 1,1 Prozent, in Dänemark 1,4 Prozent. In beiden Ländern werden Vorschulkinder seit langem auf die Gesundheit ihrer Augen hin untersucht. In Deutschland gehört eine augenärztliche Vorsorgeuntersuchung für Kinder bisher nicht zum festen Leistungskatalog der gesetzlichen Krankenversicherungen (GKV). Das Institut für Qualität und Wirtschaftlichkeit im Gesundheitswesen (IQWIG) fand 2007 keinen Beleg für einen Nutzen einer solchen Untersuchung. Diese Einschätzung wurde 2015 in einem „rapid report“ bestätigt.

Sehtests im Rahmen der U7a, U8 und U9
Sehtests finden in Deutschland im Rahmen der von Kinder- und Jugendärzten oder von Hausärzten ausgeführten Kindervorsorgeuntersuchungen U7a (zum Ende des dritten Lebensjahres), U8 (am Ende des vierten Lebensjahres) und U9 (zu Beginn des sechsten Lebensjahres) statt. Bei allen Kindervorsorgeuntersuchungen ist eine Inspektion der Augen vorgesehen. Alle Kinder werden zudem im Jahr vor der Einschulung vom kinder- und jugendärztlichen Dienst der Gesundheitsämter untersucht. Teil dieser SEU ist auch ein Sehtest. Anhand der Daten aus den SEU der Jahrgänge 2009/2010 bis 2014/2015 wurde untersucht, welcher Zusammenhang zwischen der Teilnahme an den kinderärztlichen Vorsorgeuntersuchungen und der bei der SEU gemessenen Sehschärfe besteht. Die U7a wurde erst 2008 in den GKV-Leistungskatalog aufgenommen. Hier war daher zusätzlich eine Beobachtung der Verhältnisse vor und nach der Einführung möglich.

Untersuchungsergebnisse von mehr als 165.000 Kindern analysiert
In die Analyse konnten die Untersuchungsergebnisse von mehr als 165.000 Kindern aufgenommen werden. 6,8 Prozent der Kinder trugen zum Zeitpunkt der SEU eine Brille, 25,9 Prozent waren vorher mindestens einmal bei einem Augenarzt gewesen.

Bei 5,1 Prozent der Kinder wurde eine Sehschärfe unter 0,7 festgestellt. Von Schuljahr zu Schuljahr gab es Schwankungen; am höchsten war der Wert im Schuljahr 2014/15 mit 5,9 Prozent. Der Anteil der Kinder, die an allen empfohlenen Vorsorgeuntersuchungen teilnahmen, stieg von Jahr zu Jahr an von 74,35 Prozent im Jahrgang 2009/2010 auf 89,93 Prozent im Jahrgang 2014/15. Es erscheint paradox, dass in dem Jahr mit der höchsten Teilnahmequote an den Vorsorgeuntersuchungen auch der Anteil der Kinder mit schlechtem Sehen am höchsten war.

Kinder, die an der U8 und U9 teilgenommen hatten, hatten eine bessere Chance für eine gute Sehschärfe bei der SEU. Die Nichtteilnahme an der U8 oder der U9 erhöht das Risiko einer reduzierten Sehschärfe vor Schulbeginn um rund ein Drittel. Kinder, die keine der beiden Untersuchungen erhielten, hatten ein doppelt so hohes Risiko.

Die U7a hatte dagegen keinen Einfluss auf den Anteil der Kinder, die bei der SEU eine Sehschärfe von weniger als 0,7 aufwiesen. Die fehlende Wirksamkeit der U7a ist möglicherweise darauf zurückzuführen, dass die Kinder kurz vor dem Ende des dritten Lebensjahres noch nicht fähig zur notwendigen Mitarbeit sind. Bei etwa der Hälfte der Kinder, die vor Schulbeginn einen Visus von weniger als 0,7 aufweisen, ist nur ein Auge betroffen. Diese Einschränkung fällt im Alltag normalerweise nicht auf, weil das zweite Auge die Sehschwäche kompensieren kann. Nur mit einem korrekt ausgeführten monokularen Sehtest, bei dem jedes Auge getrennt getestet wird, fällt eine solche einseitige Schwäche auf. Ist ein solcher monokularer Test nicht möglich, muss das Ergebnis in Zweifel gezogen werden. Eine weitere Untersuchungsmethode, die für alle kinderärztlichen Augenuntersuchungen empfehlenswert ist, ist der Brückner-Test, bei dem der rote Fundusreflex in der Pupille mit einem Ophthalmoskop geprüft wird.

Zahlen aus dem europäischen Ausland
Studien aus dem europäischen Ausland können wegen verschiedener Methoden und eines anderen Alters der Kinder zum Untersuchungszeitpunkt nur eingeschränkt zum Vergleich mit den deutschen Daten herangezogen werden. Dennoch scheint die Prävalenz der Vorschulkinder mit eingeschränktem Sehvermögen in Deutschland hoch zu sein. In den Niederlanden fand man bei einer Kohorten-Studie mit sieben Jahre alten Kindern nur bei 1,6 Prozent einen Visus von 0,63 oder schlechter (3). In den Niederlanden erhalten Kinder fünf Augenuntersuchungen in den ersten beiden Lebensjahren.

Eine britische Studie verglich die Sehschärfe bei siebeneinhalb Jahre alten Kindern, die ein Sehscreening mit vier bis fünf Jahren erhalten hatten mit solchen, die nicht gescreent wurden. Nach einem Screening lag der Anteil der Kinder mit einer Sehschärfe unter 0,67 bei 1,9 Prozent. Bei denen, die kein Screening erhalten hatte, lag der Anteil bei 3,4 Prozent.

Diese europäischen Daten zeigen eine positive Auswirkung einer angemessenen frühen Augenvorsorgeuntersuchung. Die Vorsorgeuntersuchungen in Deutschland scheinen diesen Effekt nicht zu haben. Allerdings unterscheiden sich die Untersuchungsmethoden und diagnostischen Kriterien stark von Land zu Land. Es gibt auch große Unterschiede bei den Berufsgruppen, deren Mitglieder das Screening ausführen.

Fazit
Augenvorsorgeuntersuchungen in der frühen Kindheit sind wichtig, um eine einseitige Sehschwäche früh zu erkennen. Denn wenn sie nicht erkannt und nicht rechtzeitig behandelt wird, droht eine lebenslange Beeinträchtigung des Sehvermögens. In Deutschland gibt es bei der SEU einen vergleichsweise hohen Anteil von Kindern mit reduzierter Sehschärfe. 5,1 Prozent der Kinder haben einen Visus von weniger als 0,7, bei gut der Hälfte von ihnen sind beide Augen betroffen.

PD Dr. Heike M. Elflein
Augenklinik und Poliklinik
Universitätsmedizin der Johannes Gutenberg-Universität Mainz
Langenbeckstr. 1
55131 Mainz
E-Mail: heike.elflein@unimedizin-mainz.de

Quellen:
(1) Elflein HM, Pokora R, Müller D et al. Wie gut sehen unsere ABC-Schützen? Ophthalmologe 2021 118:470-475, https://doi.org/10.1007/s00347-020-01194-3

(2) Elflein HM, Pokora R, Müller D et al. No Benefit of a Pediatric Screening in Discovering Reduced Visual Acuity in Children: Experiences from a Cross-Sectional Study in Germany Int. J. Environ. Res. Public Health 2020, 17, 3419; doi:10.3390/ijerph17103419

(3) De Koning HJ, Groenewoud JH, Lantau VK et al (2013) Effectiveness of screening for amblyopia and other eye disorders in a prospective birth cohort study. JMedScreen20:66–72

(4) Williams C, Northstone K, Harrad RA et al (2003) Amblyopia treatment outcomes after preschool screening v school entry screening: observational data from a prospective cohort study. Br J Ophthalmol 87:988–993